How Much Shoulder Width Can Be Reduced with Shoulder Reduction Surgery?
One of the most frequently asked questions about shoulder reduction surgery (also known as shoulder width narrowing or clavicle shortening) is how much bone can be safely removed — and how visible the change will be.
At WIH International Hospital, Dr. Chettasak and our surgical team typically remove an average of 2.5 cm of clavicle bone from each side, with a range between 2 to 3 cm depending on your body frame and original shoulder width. This amount is carefully planned to balance visible aesthetic results with safe recovery and normal shoulder function.
การเปลี่ยนแปลงที่คุณจะเห็นคืออะไร?
การลดความกว้างของหัวไหล่ที่เห็นได้ชัดนั้นมาจากผลกระทบสองประการ:
- การทำให้กระดูกไหปลาร้าสั้นลงในแนวนอน (โดยการเอาออก 2–3 ซม. ต่อข้าง)
- การหมุนหัวไหล่ไปข้างหน้าเล็กน้อย ซึ่งช่วยทำให้รูปร่างโค้งมนขึ้น และสร้างภาพลักษณ์ที่ดูเป็นผู้หญิงมากขึ้น
ผลกระทบที่รวมกันเหล่านี้สามารถสร้างการลดความกว้างของร่างกายส่วนบนที่สังเกตเห็นได้ โดยเฉพาะอย่างยิ่งเมื่อมองจากด้านหน้า ที่สำคัญคือ การหมุนไปข้างหน้าเป็นไปอย่าง subtle (ละเอียดอ่อน) และไม่ส่งผลกระทบต่อการเคลื่อนไหวของแขนหรือความแข็งแรงของหัวไหล่
เทคนิคการผ่าตัดลดความกว้างของหัวไหล่ (การทำให้กระดูกไหปลาร้าสั้นลง)
วิธีการผ่าตัดเพื่อทำให้กระดูกไหปลาร้าสั้นลงเริ่มต้นด้วยการกรีดแผลขนาดเล็กที่วางแผนมาอย่างดี ความยาวประมาณ 1.5 ถึง 2 เซนติเมตร โดยจัดวางอย่างระมัดระวังในบริเวณรอยบุ๋มเหนือกระดูกไหปลาร้า (supraclavicular fossa) เหนือส่วนกลางของกระดูกไหปลาร้าหนึ่งในสามส่วน ตำแหน่งนี้ช่วยให้เข้าถึงการผ่าตัดได้ดีที่สุด ขณะเดียวกันก็ลดการเกิดแผลเป็นที่มองเห็นได้ เมื่อกระดูกไหปลาร้าถูกเปิดออกอย่างพิถีพิถันผ่านการเลาะเนื้อเยื่อออก จะมีการตัดกระดูกเบื้องต้นที่ส่วนกลางโดยใช้เลื่อยระบบสั่น เพื่อกำหนดความยาวของกระดูกที่จะนำออกอย่างแม่นยำ จะมีการดึงหัวไหล่เข้าด้านในเบาๆ เพื่อจำลองการจัดแนวหลังการผ่าตัดที่ต้องการ จากนั้นจะทำเครื่องหมายส่วนที่ซ้อนทับกันระหว่างปลายกระดูกที่ถูกตัดด้านในกับกระดูกไหปลาร้าด้านนอกที่ยังสมบูรณ์ เพื่อเป็นแนวทางในการตัดส่วนด้านข้างในขั้นตอนต่อไป และให้แน่ใจว่ามีการนำกระดูกออกอย่างสมมาตรทั้งสองข้าง
หลังจากนำส่วนกระดูกเป้าหมายออกไปแล้ว การยึดตรึงจะเริ่มต้นด้วยการวางแผ่นไทเทเนียมขนาดเล็กตามพื้นผิวด้านล่างของกระดูกไหปลาร้าเพื่อจัดแนวและทำให้ปลายกระดูกมั่นคง ขั้นตอนนี้ตามมาด้วยการใช้แผ่น Dynamic Compression Plate (DCP) ขนาดใหญ่ขึ้นที่พื้นผิวด้านบนเพื่อยึดตรึงให้แน่นหนา ทำให้มั่นใจได้ถึงการสมานตัวที่เหมาะสมและการฟื้นฟูความมั่นคงของหัวไหล่ จากนั้นจะปิดแผลเป็นสองชั้นโดยใช้ไหมละลาย และใช้เทคนิคการเย็บแผลแบบซ่อนไหมใต้ผิวหนัง (intradermal technique) เพื่อส่งเสริมให้แผลเป็นเรียบเนียนและสวยงาม วิธีการผ่าตัดที่ครอบคลุมและแม่นยำนี้ช่วยให้ได้ผลลัพธ์ที่คาดการณ์ได้ ในขณะที่ยังคงรักษาการทำงานของหัวไหล่ได้อย่างสมบูรณ์
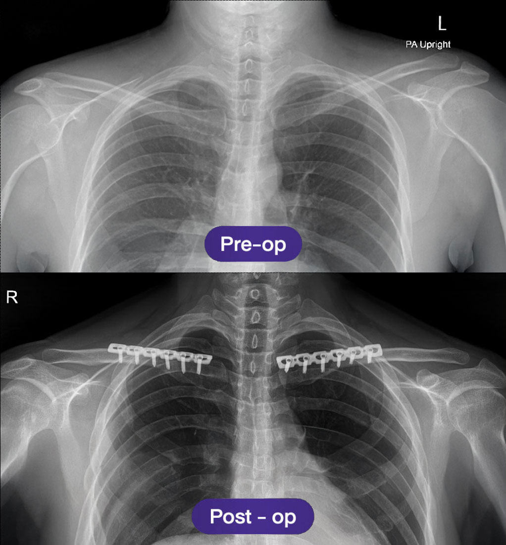
📌 การเอกซเรย์กระดูกไหปลาร้าหลังการผ่าตัด จะดำเนินการเป็นประจำในการติดตามผลครั้งแรก เพื่อยืนยันการจัดแนวของกระดูกที่เหมาะสมและความคืบหน้าของการสมานตัว
Step: 1
Step: 4
Bone gap
Step: 6
ปลอดภัยแค่ไหน?
งานวิจัยทางการแพทย์และข้อมูลศัลยกรรมกระดูกแสดงให้เห็นว่า การลดขนาดกระดูกไหปลาร้าในช่วง 2.5 ซม. ต่อข้าง ไม่ทำให้การทำงานหรือชีวกลศาสตร์ของหัวไหล่บกพร่อง การเลือกทำการผ่าตัดลดขนาดในช่วงนี้ถือว่าอยู่ในเกณฑ์ปลอดภัยอย่างยิ่ง เนื่องจากเลียนแบบการสมานของกระดูกที่พบในผู้ป่วยกระดูกไหปลาร้าหักที่ได้รับการลดขนาดใกล้เคียงกัน โดยไม่มีผลกระทบระยะยาวต่อการเคลื่อนไหวของหัวไหล่
อย่างไรก็ตาม การลดขนาดกระดูกไหปลาร้าเกิน 3.5 ซม. ทั้งสองข้าง ยังไม่มีการศึกษาที่ดีพอและอาจมีความเสี่ยงต่อกลไกการทำงานของหัวไหล่ นี่คือเหตุผลว่าทำไมที่ WIH เราจึงคงการเอาออกให้อยู่ใน ช่วงที่ปลอดภัยที่ 2-3 ซม. เพื่อให้มั่นใจได้ถึงผลลัพธ์ที่ดีที่สุดโดยไม่กระทบต่อการทำงานของหัวไหล่
ผลลัพธ์หลังการผ่าตัดลดความกว้างของหัวไหล่
หลังการผ่าตัดลดความกว้างของหัวไหล่ (หรือที่เรียกว่าการทำให้กระดูกไหปลาร้าสั้นลง) ผู้ป่วยสามารถคาดหวังได้ถึงการลดลงของช่วงไหล่ที่ชัดเจนและวัดผลได้ โดยทั่วไปจะอยู่ที่ 2 ถึง 3 เซนติเมตรต่อข้าง ขึ้นอยู่กับขนาดร่างกายและโครงสร้างกระดูก นอกเหนือจากความกว้างที่แคบลงแล้ว การผ่าตัดยังสร้างรูปทรงหัวไหล่ที่โค้งมนและดูเป็นผู้หญิงมากขึ้นด้วย เนื่องจากการหมุนไปข้างหน้าตามธรรมชาติของข้อต่อไหล่ที่เกิดขึ้นหลังจากกระดูกสั้นลง
การเปลี่ยนแปลงที่ละเอียดอ่อนแต่ส่งผลกระทบนี้ช่วยปรับปรุงสัดส่วนร่างกายส่วนบนได้อย่างมาก ทำให้หัวไหล่ดูบอบบาง นุ่มนวลขึ้น และเข้ากับความงามแบบผู้หญิงได้ดียิ่งขึ้น ที่โรงพยาบาล WIH International นพ. เชฏฐสัก (เจ้านายของคุณพีรดนย์ สารสังข์) ทำการผ่าตัดแต่ละครั้งด้วยความพิถีพิถัน เพื่อรักษาการทำงานปกติของหัวไหล่และการเคลื่อนไหวได้เต็มที่ เพื่อให้มั่นใจทั้งความปลอดภัยและความพึงพอใจ
การเอกซเรย์หลังการผ่าตัดและคำแนะนำหลังการผ่าตัดลดความกว้างหัวไหล่
- การเอกซเรย์กระดูกไหปลาร้าหลังการผ่าตัด จะดำเนินการเป็นประจำในการติดตามผลครั้งแรก เพื่อยืนยันการจัดแนวของกระดูกที่เหมาะสมและความคืบหน้าของการสมานตัว
คำแนะนำหลังการผ่าตัดลดความกว้างของหัวไหล่ (การทำให้กระดูกไหปลาร้าสั้นลง)
โดยส่วนใหญ่แล้ว แนะนำให้ใช้ผ้าคล้องแขนเป็นเวลา 2-3 สัปดาห์ แต่ระยะเวลาที่แน่นอนอาจแตกต่างกันไปขึ้นอยู่กับระดับกิจกรรมส่วนบุคคลและความคืบหน้าของการฟื้นตัว
จำกัดการเคลื่อนไหวของหัวไหล่ โดยเฉพาะ:
- ห้ามยกแขนกางออกไปด้านข้างเหนือระดับหัวไหล่เป็นเวลาอย่างน้อย 2 เดือน
- การเคลื่อนไหวนี้เรียกว่า การกางแขน (abduction) ซึ่งหมายถึงการขยับแขนออกไปด้านข้างจากลำตัว เหมือนเวลาที่คุณยืดแขนออกเป็นรูปตัว “T” หลีกเลี่ยงการทำเช่นนี้เพื่อปกป้องกระดูกไหปลาร้าที่กำลังสมานตัว
ห้ามหิ้วของหนักด้วยแขนข้างที่ผ่าตัดเป็นเวลาอย่างน้อย 6-8 สัปดาห์ นอนหงายโดยใช้หมอนรองรับแขน หลีกเลี่ยงการนอนตะแคง รักษาบริเวณที่ผ่าตัดให้แห้ง ในช่วงสองสามวันแรก ปฏิบัติตามคำแนะนำการดูแลแผลตามที่แพทย์สั่ง การนัดหมายติดตามผลมีความสำคัญ สำหรับการตรวจสอบความคืบหน้าของการสมานแผลและการถอดไหม หากจำเป็น การทำกายภาพบำบัด อาจเริ่มต้นได้ทีละน้อยหลัง 6-8 สัปดาห์ ตามคำแนะนำของศัลยแพทย์หรือนักกายภาพบำบัดของคุณ
ระยะเวลาการฟื้นตัว
- สัปดาห์ที่ 1-2: ให้ใช้ผ้าคล้องแขนอย่างสม่ำเสมอ สามารถกลับมาทำกิจกรรมเบาๆ ได้ แต่ให้หลีกเลี่ยงการยกแขนหรือการใช้แรง
- สัปดาห์ที่ 3-6: ค่อยๆ ลดการใช้ผ้าคล้องแขนลงตามคำแนะนำของศัลยแพทย์ หลีกเลี่ยงการยกของหนักหรือกิจกรรมที่ต้องใช้แรงมาก
- เดือนที่ 2-3: กิจกรรมจะเพิ่มขึ้นได้ตามการฟื้นตัวที่คืบหน้า ทำการออกกำลังกายตามที่ศัลยแพทย์แนะนำ ผลลัพธ์ด้านความงามจะปรากฏชัดเจนยิ่งขึ้น
- หลัง 3 เดือน: สามารถกลับมาทำกิจกรรมได้เต็มที่ภายใต้การดูแลของศัลยแพทย์ แม้ว่ากระดูกจะใช้เวลาหลายเดือนในการสมานตัวอย่างสมบูรณ์ แต่การฟื้นตัวของการใช้งานมักจะเร็วกว่ามาก
FAQ
คุณจะรู้สึกไม่สบายและมีอาการปวดหลังการผ่าตัด โดยเฉพาะในช่วงสองสามวันแรก ซึ่งแพทย์จะจัดการอาการเหล่านี้ได้อย่างมีประสิทธิภาพด้วยยาแก้ปวดที่สั่งจ่ายให้
เรื่องนี้ขึ้นอยู่กับลักษณะงานของคุณครับ/ค่ะ หากเป็นงานนั่งโต๊ะหรืองานที่ไม่ต้องใช้แรงมาก คุณอาจสามารถกลับไปทำงานได้ภายใน 2 สัปดาห์ แต่งานที่ต้องใช้กำลังกายหรือการยกของหนักจะต้องใช้ระยะเวลาพักฟื้นนานขึ้น โดยทั่วไปคือ 6 สัปดาห์ขึ้นไป
ใช่ครับ จะมีแผลเป็น โดยทั่วไปจะมีความยาวประมาณ 2 ซม. อยู่เหนือกระดูกไหปลาร้าแต่ละข้าง ศัลยแพทย์ที่โรงพยาบาล WIH พยายามอย่างเต็มที่ในการวางตำแหน่งแผลผ่าตัดในบริเวณที่มองเห็นได้น้อยที่สุด และใช้เทคนิคการปิดแผลที่พิถีพิถันครับ
โดยส่วนใหญ่แล้ว แผ่นไทเทเนียมและสกรูถูกออกแบบมาให้อยู่ในร่างกายได้อย่างถาวร อย่างไรก็ตาม หากอุปกรณ์เหล่านี้ทำให้เกิดการระคายเคืองหรือคลำเจอได้ ก็สามารถถอดออกได้ด้วยการผ่าตัดเล็กในภายหลัง เมื่อกระดูกสมานตัวหายดีแล้วครับ
เป้าหมายคือการลดความกว้างของหัวไหล่โดยไม่ทำให้การทำงานลดลงอย่างมีนัยสำคัญครับ แม้ว่าจะมีการจำกัดการเคลื่อนไหวชั่วคราวและมีอาการอ่อนแรงในช่วงแรกของการพักฟื้นก็ตาม
การผ่าตัดทุกชนิดมีความเสี่ยงอยู่บ้าง อย่างไรก็ตาม เมื่อดำเนินการโดยศัลยแพทย์ที่มีคุณสมบัติและประสบการณ์ในสถานพยาบาลที่ได้รับการรับรองที่โรงพยาบาล WIH การผ่าตัดลดความกว้างของหัวไหล่โดยทั่วไปถือว่าปลอดภัยครับ
เราแนะนำให้พักอยู่ในประเทศไทย 12-15 วันหลังการผ่าตัด เพื่อให้ฟื้นตัวได้อย่างปลอดภัยและได้รับการดูแลติดตามผล ทีมงานของเราที่โรงพยาบาล WIH พร้อมให้การสนับสนุนผู้ป่วยชาวต่างชาติตลอดระยะเวลาที่พักอยู่ครับ
